
What is G-CAM?
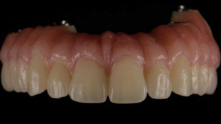
It is an advanced CAD/CAM disc designed for dental laboratories and clinics. It is made by reinforcing PMMA with graphene, creating a material that is strong, lightweight, and highly aesthetic. The disc is engineered for modern digital workflows, milling smoothly while delivering reliable results for a wide range of restorative applications.
What sets this disc apart is its balance of durability and patient comfort. It resists fractures, adapts naturally in the mouth, and offers shades that mimic the appearance of real teeth. Backed by safety testing and FDA clearance, it provides dental professionals with confidence in both performance and biocompatibility.